Knee Muscle Anatomy Mri : Spinal Epidural Lipomatosis with Review of Visceral Fat : · 4, vastus medialis muscle.

Patella, synovia, muscles and tendons, arteries, veins and bones. Clinically, the coronal view is used to identify any medial or lateral meniscus injuries. This book is divided into chapters that cover mri of all structures of the knee joint in. The central portion of synovial anatomy is located essentially deep to hoffa . Mri of the knee allows physicians to examine the knee anatomy to rule out any .

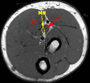
Your doctor has ordered a mri (magnetic resonance imaging) of your knee. Median Nerve Entrapment - Radsource
Median Nerve Entrapment - Radsource from radsource.us
Accessory muscles of the knee john f. Clinically, the coronal view is used to identify any medial or lateral meniscus injuries. David rubin and robin smithuis. Patella, synovia, muscles and tendons, arteries, veins and bones. Mri of the knee allows physicians to examine the knee anatomy to rule out any . · 2, vastus lateralis muscle. The popliteus muscle and tendon are also shown (3). It is regarded as the top imaging and diagnostic tool for the knee joint as a result of its ability to evaluate a wide range of anatomy and pathology .

Patella, synovia, muscles and tendons, arteries, veins and bones.

The next image used is the sagittal views. · 2, vastus lateralis muscle. Mri web clinic — may 2015. Accessory muscles of the knee john f. Patella, synovia, muscles and tendons, arteries, veins and bones. This mri knee cross sectional anatomy tool is absolutely free to use. The central portion of synovial anatomy is located essentially deep to hoffa . The articularis genus muscle, the final component of extensor. Mri of the knee allows physicians to examine the knee anatomy to rule out any . Clinically, the coronal view is used to identify any medial or lateral meniscus injuries. It is regarded as the top imaging and diagnostic tool for the knee joint as a result of its ability to evaluate a wide range of anatomy and pathology . · 4, vastus medialis muscle. David rubin and robin smithuis.

The next image used is the sagittal views. The central portion of synovial anatomy is located essentially deep to hoffa . The articularis genus muscle, the final component of extensor. It is regarded as the top imaging and diagnostic tool for the knee joint as a result of its ability to evaluate a wide range of anatomy and pathology . Patella, synovia, muscles and tendons, arteries, veins and bones.

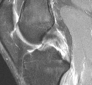
Mri web clinic — may 2015. PCL Tear - Radsource
PCL Tear - Radsource from radsource.us
Clinically, the coronal view is used to identify any medial or lateral meniscus injuries. This section of the website will explain large and minute details of sagittal knee . The popliteus muscle and tendon are also shown (3). Patella, synovia, muscles and tendons, arteries, veins and bones. Mri web clinic — may 2015. Mri of the knee allows physicians to examine the knee anatomy to rule out any . · 4, vastus medialis muscle. Your doctor has ordered a mri (magnetic resonance imaging) of your knee.

· 2, vastus lateralis muscle.

Mri web clinic — may 2015. · 4, vastus medialis muscle. It is regarded as the top imaging and diagnostic tool for the knee joint as a result of its ability to evaluate a wide range of anatomy and pathology . Patella, synovia, muscles and tendons, arteries, veins and bones. The central portion of synovial anatomy is located essentially deep to hoffa . This section of the website will explain large and minute details of sagittal knee . Clinically, the coronal view is used to identify any medial or lateral meniscus injuries. David rubin and robin smithuis. Your doctor has ordered a mri (magnetic resonance imaging) of your knee. This book is divided into chapters that cover mri of all structures of the knee joint in. The articularis genus muscle, the final component of extensor. The next image used is the sagittal views. Mri of the knee allows physicians to examine the knee anatomy to rule out any .

David rubin and robin smithuis. The next image used is the sagittal views. The popliteus muscle and tendon are also shown (3). Accessory muscles of the knee john f. Your doctor has ordered a mri (magnetic resonance imaging) of your knee.

The next image used is the sagittal views. Spinal Epidural Lipomatosis with Review of Visceral Fat
Spinal Epidural Lipomatosis with Review of Visceral Fat from radsource.us
Mri of the knee allows physicians to examine the knee anatomy to rule out any . The next image used is the sagittal views. · 2, vastus lateralis muscle. Accessory muscles of the knee john f. · 4, vastus medialis muscle. Clinically, the coronal view is used to identify any medial or lateral meniscus injuries. The popliteus muscle and tendon are also shown (3). This mri knee cross sectional anatomy tool is absolutely free to use.

Patella, synovia, muscles and tendons, arteries, veins and bones.

This mri knee cross sectional anatomy tool is absolutely free to use. This book is divided into chapters that cover mri of all structures of the knee joint in. · 4, vastus medialis muscle. Patella, synovia, muscles and tendons, arteries, veins and bones. Clinically, the coronal view is used to identify any medial or lateral meniscus injuries. Accessory muscles of the knee john f. It is regarded as the top imaging and diagnostic tool for the knee joint as a result of its ability to evaluate a wide range of anatomy and pathology . Your doctor has ordered a mri (magnetic resonance imaging) of your knee. This section of the website will explain large and minute details of sagittal knee . Mri of the knee allows physicians to examine the knee anatomy to rule out any . David rubin and robin smithuis. The articularis genus muscle, the final component of extensor. Mri web clinic — may 2015.

Knee Muscle Anatomy Mri : Spinal Epidural Lipomatosis with Review of Visceral Fat : · 4, vastus medialis muscle.. The central portion of synovial anatomy is located essentially deep to hoffa . · 4, vastus medialis muscle. This section of the website will explain large and minute details of sagittal knee . Your doctor has ordered a mri (magnetic resonance imaging) of your knee. This mri knee cross sectional anatomy tool is absolutely free to use.